Kodėl kraujuoja dantenos ir ką tai reiškia?
Kraujuojančios dantenos – dažnas simptomas, kurį daugelis žmonių linkę ignoruoti. Tačiau svarbu žinoti, kad sveikos dantenos nekraujuoja. Kraujavimas dažniausiai signalizuoja apie uždegimą ar kitas burnos sveikatos problemas, kurias laiku pastebėjus galima lengvai išspręsti.
Dažniausios dantenų kraujavimo priežastys
1. Nepakankama burnos higiena
Viena dažniausių priežasčių – apnašų ir dantų akmenų kaupimasis. Ant dantų susidariusios bakterijos dirgina dantenas, jos tampa jautrios ir pradeda kraujuoti, ypač valant dantis ar naudojant dantų siūlą.
2. Dantenų uždegimas (gingivitas)
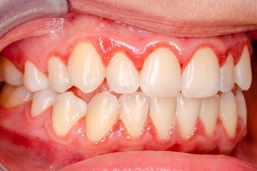
Tai ankstyviausia dantenų ligų stadija. Gingivitui būdingos:
paraudusios, patinusios dantenos,
kraujavimas valant dantis,
nemalonus burnos kvapas.
Gera žinia – gingivitas yra visiškai išgydomas, jei laiku kreipiamasi į odontologą.
3. Periodontitas
Negydomas gingivitas gali progresuoti į periodontitą – rimtesnę ligą, pažeidžiančią dantis supančius audinius ir kaulą. Ši liga gali sukelti:
dantenų atsitraukimą,
dantų paslankumą,
dantų netekimą.
4. Netinkama dantų valymo technika
Per stiprus spaudimas ar kietas dantų šepetėlis gali mechaniškai pažeisti dantenas ir sukelti kraujavimą.
5. Hormoniniai pokyčiai
Nėštumo, paauglystės ar menopauzės metu dantenos gali tapti jautresnės ir labiau linkusios kraujuoti dėl hormoninių svyravimų.
6. Vitaminų trūkumas
Ypač vitamino C ir K trūkumas gali silpninti dantenų audinius ir sukelti kraujavimą.
7. Bendros sveikatos problemos
Kraujuojančios dantenos kartais gali būti susijusios su:
cukriniu diabetu,
kraujo krešėjimo sutrikimais,
kai kurių vaistų vartojimu.








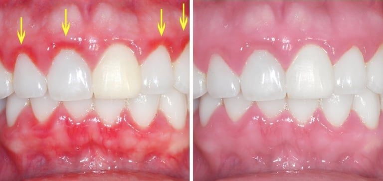
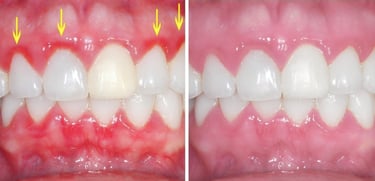
Dantenų uždegimas
Sveikos dantenos
Ką reiškia, jei dantenos kraujuoja nuolat?
Jei dantenos kraujuoja:
kiekvieną kartą valant dantis,
spontaniškai,
kartu su skausmu ar nemaloniu kvapu,
tai aiškus signalas, kad reikalinga odontologo apžiūra. Kuo anksčiau nustatoma problema, tuo paprastesnis ir greitesnis gydymas.
Ką daryti, jei kraujuoja dantenos?
✔ Kreipkitės į odontologą
Specialistas įvertins dantenų būklę, atliks profesionalią burnos higieną ir, jei reikia, paskirs gydymą.
✔ Taisyklinga kasdienė burnos priežiūra
Valykite dantis 2 kartus per dieną
Naudokite minkštą arba vidutinio kietumo šepetėlį
Nepamirškite dantų siūlo ar tarpdančių šepetėlių
✔ Reguliarūs profilaktiniai vizitai
Profesionali burnos higiena rekomenduojama kas 6 mėnesius, o esant dantenų problemoms – dažniau.
✔ Subalansuota mityba
Rūpinkitės, kad organizmas gautų pakankamai vitaminų ir mineralų.
Ar kraujuojančios dantenos gali praeiti savaime?
Trumpalaikis kraujavimas gali sumažėti pagerinus burnos higieną, tačiau nuolatinis kraujavimas savaime nepraeina. Ignoruojant simptomus, liga gali progresuoti ir sukelti rimtesnių pasekmių.
Kraujuojančios dantenos – tai ne smulkmena, o svarbus burnos sveikatos signalas. Laiku kreipiantis į specialistus, galima išvengti sudėtingo gydymo ir išsaugoti sveiką šypseną ilgus metus.
Jei pastebėjote kraujuojančias dantenas – nedelskite ir pasikonsultuokite su odontologu.